Thursday, September 25, 2025
The Standardized Organoid Modeling Center aims to produce standardized protocols for organoid research, addressing reproducibility challenges.
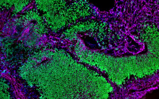
Brain organoid depicting neural stem cells in green and neurons in magenta. Both cell types are abundant, showing normal development.
NIAID
Today, the National Institutes of Health (NIH) announced the award of contracts for launching the Standardized Organoid Modeling (SOM) Center, a national resource that will be dedicated to using cutting-edge technologies to develop standardized organoid-based new approach methodologies (NAMs) that deliver robust, reproducible, and patient-centered research findings. With contracts totaling $87 million for the first three years, the center will be housed at the Frederick National Laboratory for Cancer Research (FNLCR), a facility supported by NIH’s National Cancer Institute (NCI). The center’s goal will be to leverage the latest technologies to enable real-time optimization of organoid protocols.
“This groundbreaking initiative will transform how we conduct biomedical research through innovative approaches to advancing human-based technologies,” said NIH Director Dr. Jay Bhattacharya. “By creating standardized, reproduceable, and accessible organoid models, we will accelerate drug discovery and translational science, offering more precise tools for disease modeling, public health protection, and reducing reliance on animal models.”
Organoids are small, lab-grown tissue models that replicate the structure and function of human organs, offering alternatives to animal models. However, most organoid models are currently produced in academic settings through trial and error, slowing their ability to be reproduced across labs. The NIH SOM Center will address these reproducibility challenges through using technologies including artificial intelligence, robotics, and a variety of human cell sources to establish standardized organoid models that can be used widely by researchers and accepted by regulators, accelerating scientific discoveries and decisions.
The NIH SOM Center is designed to support a wide array of users, including scientists and researchers from academic institutions, industry, and government; clinicians in need of patient-specific models; and the broader scientific community, including industry partners and educators. It will provide open access to protocols, data, and organoids, promoting global collaboration. The center will also work with regulatory bodies, including the U.S. Food and Drug Administration, to develop models that meet preclinical testing standards, accelerating development of new disease treatments and safety assessments. The center will initially focus on organoid models of the liver, lung, heart, and intestine, with plans to expand to additional organ systems and disease-specific models.
“The NIH SOM Center is truly a first of its kind,” said Nicole Kleinstreuer, Ph.D., Acting NIH Deputy Director for Program Coordination, Planning, and Strategic Initiatives. “It will serve as a national resource to scientists at NIH and investigators from around the country and the world, offering a unique combination of AI and machine learning to develop world-class organoid protocols, advanced robotics for large-scale production, and open-access repositories for physical samples and digital resources.”
A new SOM Scientific Advisory Board, comprised of internationally recognized scientists, will provide strategic guidance and direction for the center’s scientific priorities and research.
The initiative is being launched by the NIH Division of Program Coordination, Planning, and Strategic Initiatives, in collaboration with many other NIH Institutes, Centers, and Offices, including the National Cancer Institute (NCI), the National Institute of Allergy and Infectious Diseases’ (NIAID) Research Technologies Branch and Center for Human Immunology, Infection and Autoimmunity, the National Human Genome Research Institute (NHGRI) the National Center for Advancing Translational Sciences (NCATS), and the Office of Research on Women’s Health, with plans to expand partnerships across NIH and the broader scientific community.
About the National Institutes of Health (NIH): NIH, the nation’s medical research agency, includes 27 Institutes and Centers and is a component of the U.S. Department of Health and Human Services. NIH is the primary federal agency conducting and supporting basic, clinical, and translational medical research, and is investigating the causes, treatments, and cures for both common and rare diseases. For more information about NIH and its programs, visit www.nih.gov.
NIH…Turning Discovery Into Health®


















Leave a Reply