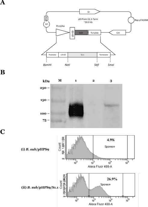
Construction and expression of recombinant B. subtilis
The plasmid pHPS9-Prom-S1.1-Term, consisting of the SARS-CoV-2 spike protein fragment (S1.1) under the control of the cry1Aa promoter and cry1Ac terminator, was successfully constructed (Fig. 1A). DNA sequencing was performed to verify the integrity of the transformed plasmid, confirming the correct sequence of the inserted fragment (data not shown). A polypeptide band of around ~ 100 kDa, corresponding to the predicted size of the recombinant SARS-CoV-2 spike protein, was identified (Fig. 1B, Lane 3). In contrast, no band of similar size was detected in the protein lysate from the vector pHPS9. Flow cytometry analysis demonstrated that over 25% of the spores consisted of recombinant spores expressing the SARS-CoV-2 spike protein (Fig. 1C).

Construction and expression of recombinant B. subtilis expressing SARS-CoV-2 spike proteins. A schematic diagram showing the cloning of the SARS-CoV-2 spike protein gene of interest (GOI) into the plasmid pHPS9 under the control of the leader + Shine–Dalgarno sequence (LD + SD), the cry1Aa promoter (pCry1Aa), and the cry1Ac terminator (tCry1Ac). Cm, chloramphenicol resistance marker; Er, erythromycin resistance marker; ori, origin of replication; p59, promoter sequence for constitutive expression; rep, replicon element required for plasmid replication; pta1060, plasmid stabilization element (A). The spore coat protein was harvested at 24 h post-induction of bacterial sporulation. The extracted protein was separated using SDS-PAGE, followed by immunoblotting using a mouse monoclonal anti-SARS-CoV-2 spike antibody (Lane 3). Lane 1 represents the positive control, while Lane 2 represents the non-recombinant B. subtilis spores (B). The original blots are presented in Supplementary Fig. 1. Flow cytometry of the non-recombinant B. subtilis spores (C, i) and recombinant B. subtilis spores (C, ii) incubated with the mouse monoclonal anti-SARS-CoV-2 spike antibody and goat anti-mouse IgG H&L (Alexa Fluor® 488).
Results from IEM labeling further demonstrated the presence of 10 nm gold particles. These particles were specifically localized on the spore coat structures, corresponding to the binding of the SARS-CoV-2 spike-neutralizing antibody. The gold particles were distinctly observed on the surface of the spores, affirming the successful expression and localization of the SARS-CoV-2 spike proteins. This precise labeling pattern suggests that the SARS-CoV-2 spike protein was effectively expressed on the spore coat of the recombinant spores (Fig. 2).

Localization of the SARS-CoV-2 spike proteins on the recombinant B. subtilis spores. Transmission Electron Microscopy (TEM) micrographs showing the cross-sections of B. subtilis spores. Recombinant spores expressing SARS-CoV-2 spike proteins (i) and a mixture of recombinant and non-recombinant spores labeled with mouse monoclonal anti-SARS-CoV-2 spike antibody and anti-IgG conjugated with 10 nm colloidal gold particles (ii). Enlarged views of the recombinant (iii) and non-recombinant (iv) spores are shown, with gold particles (denoted by arrowheads) specifically localizing to the recombinant spores. Abbreviations: cm = core membrane, co = core, ct = coat, cx = cortex. Scale bar: 200 nm.
Oral immunization of mice with the recombinant B. subtilis spores expressing SARS-CoV-2 spike protein
In the present study, mice were divided into several groups to evaluate the antibody responses following immunization with recombinant and non-recombinant B. subtilis spores. The mice were immunized with diluent as control group (group 1), low-dose non-recombinant B. subtilis spores (5 × 108 CFU/ml) (group 2), medium-dose non-recombinant B. subtilis spores (1 × 109 CFU/ml) (group 3), high-dose non-recombinant B. subtilis spores (5 × 1010 CFU/ml) (group 4), low-dose recombinant B. subtilis spores expressing SARS-CoV-2 spike proteins (5 × 108 CFU/ml) (group 5), medium-dose recombinant B. subtilis spores expressing SARS-CoV-2 spike proteins (1 × 109 CFU/ml) (group 6), and high-dose recombinant B. subtilis spores expressing SARS-CoV-2 spike proteins (5 × 1010 CFU/ml) (group 7).
At pre-immunization, the IgM levels of the different mice groups ranged at baseline levels between 0.617 ng/ml ± 0.617 to 16.416 ng/ml ± 9.87 (Fig. 3A). By day 16, mice of group 6 exhibited IgM levels of 21.655 ± 11.931 ng/ml, higher than the mice of group 5 (15.245 ± 5.318 ng/ml) and group 7 (9.783 ± 2.485 ng/ml). At day 32, two weeks post-second dose, the IgM levels in the mice of group 6 increased significantly to 46.015 ± 2.391 ng/ml (p = 0.001). Similarly, significant increases were observed in mice of group 7 (33.001 ± 6.252 ng/ml, p = 0.0421) and group 5 (37.303 ± 15.143 ng/ml, p = 0.0138). In contrast, mice immunized with the non-recombinant spores showed elevated IgM levels compared to controls, but these increases were not statistically significant (mice of group 2: 15.247 ± 9.521 ng/ml, group 3: 26.529 ± 12.546 ng/ml, and group 4: 14.911 ± 5.247 ng/ml; p > 0.05). By day 55, three weeks post-third dose, IgM levels remained elevated in most groups (Fig. 3A). The mice of group 6 maintained the highest IgM levels (37.089 ± 9.276 ng/ml, p = 0.0205), while the mice of group 7 showed elevated but non-significant levels (31.487 ± 11.956 ng/ml, p > 0.05). In contrast, the mice of group 5 experienced a decline in IgM levels to 15.239 ± 8.417 ng/ml. IgM levels in mice immunized with the non-recombinant B. subtilis spores remained detectable throughout the study period; however, no significant differences were observed compared to controls (mice of group 2: 3.807 ng/ml ± 2.479, group 3: 13.231 ng/ml ± 6.875, and group 4: 23.197 ng/ml ± 13.356; p > 0.05).

Humoral immunity in mice immunized with recombinant B. subtilis spores expressing SARS-CoV-2 spike protein. Serum anti-SARS-CoV-2 spike IgM level (A), and serum anti-SARS-CoV-2 spike IgG level (B) were measured at pre-immunization, and two weeks after the first, second, and third doses. Serum SARS-CoV-2 spike-specific IgG subclasses, IgG1 and IgG2a, in mice immunized with non-recombinant or recombinant B. subtilis spores at low, medium, and high doses compared to the control group (diluent), shown in (C). The ratio of IgG2a/IgG1 (D). The data were represented as mean ± SEM. Statistical significance compared to the control group was tested using two-way ANOVA with Dunnett’s post hoc test for multiple comparisons. (n = 6/group). Neutralizing activity of sera was evaluated using the sVNT assay in orally immunized SPF Balb/c mice on Day 55, as shown in (E). A dotted line indicates the cutoff threshold set at 30% inhibition. The data are represented as mean ± SD. Statistical significance compared to the control group was tested using one-way ANOVA with Dunnett’s post hoc test for multiple comparisons. (n = 6/group).
The baseline pre-immunization IgG levels in mice across all groups ranged between − 2.018 ± 0.876 and 1.433 ng/ml ± 1.346 (Fig. 3B). Two weeks after the first dose, mice immunized with the recombinant spores exhibited an increase in anti-SARS-CoV-2 spike IgG levels compared to controls. The mice of group 6 demonstrated the highest IgG levels (3.326 ± 1.391 ng/ml), followed by the mice of group 7 (2.475 ± 1.215 ng/ml) and group 5 (2.138 ± 1.251 ng/ml). However, these differences were not statistically significant (p > 0.05). Mice immunized with the non-recombinant spores (groups 2, 3, and 4) showed IgG levels of 0.861 ng/ml ± 0.931, 0.589 ng/ml ± 1.008, and 0.566 ng/ml ± 1.064, respectively. By day 32, a significant increase in IgG levels was observed, particularly in mice of group 7 (7.129 ± 2.445 ng/ml, p = 0.0011). Similarly, mice of group 6 (6.042 ± 2.503 ng/ml, p = 0.009) and group 5 (5.296 ± 1.739 ng/ml, p = 0.0313) also demonstrated significant increases in IgG levels. The mice immunized with the non-recombinant spores also showed an increase in IgG levels; however, these differences remained statistically non-significant across all doses (0.847 ng/ml ± 1.523 for the mice in group 2, 0.625 ng/ml ± 1.452 for the mice in group 3, and 1.216 ng/ml ± 1.08 for the mice in group 4; p > 0.05). At day 55, IgG levels remained elevated in mice immunized with the recombinant spores. Mice in group 7 exhibited the highest levels (7.905 ± 1.279 ng/ml, p = 0.0001), while the mice in groups 6 and 5 showed elevated levels, however, these were not statistically significant compared to mice in the control group (p > 0.05). The IgG levels for the mice immunized with the non-recombinant spores remained low (mice in group 2 = − 0.046 ng/ml ± 1.093, group 3 = 0.122 ng/ml ± 1.515, and group 4 = 0.399 ng/ml ± 1.467). A dose-dependent effect was observed in the serum IgG level post-second and third doses of the recombinant spores. The mice immunized with high-dose recombinant spores exhibited significantly higher serum IgG levels than the mice immunized with medium- and low-dose recombinant spores (p = 0.0196 and p = 0.0019, respectively).
Overall, serum anti-SARS-CoV-2 spike IgM levels (Fig. 3A) and IgG levels (Fig. 3B) increased significantly following the second and third immunizations compared to baseline and control groups, with the most potent responses observed at medium and higher doses, or at 1 × 109 CFU/ml and 5 × 1010 CFU/ml spores, respectively.
To assess the Th1/Th2 balance, serum IgG1 (indicative of Th2) and IgG2a (indicative of Th1) levels were measured in mice after immunization with three doses of the bacterial spores (Fig. 3C). The mice of group 7 exhibited an increase in IgG1 levels (OD 0.326 ± 0.107) compared to the mice of group 1 (OD 0.203 ± 0.022). The mice of groups 6 and 5 showed IgG1 levels of 0.184 ± 0.027 and 0.204 ± 0.039, respectively. Mice immunized with non-recombinant spores had IgG1 levels ranging from OD of 0.185 ± 0.027 to 0.208 ± 0.014.
IgG2a levels were higher in the mice of group 7 (OD 0.282 ± 0.081) compared to the mice of group 1 (OD 0.226 ± 0.023). Similarly, the mice of groups 5 and 6 exhibited high IgG2a levels (OD 0.269 ± 0.029 and 0.24 ± 0.033, respectively). The mice immunized with the non-recombinant spores exhibited low levels of IgG2a, ranging from 0.186 ± 0.014 to 0.223 ± 0.014.
The IgG2a/IgG1 ratio was highest in the mice of group 5 (1.514), followed by group 6 (1.201) and 7 (1.17). In comparison, the diluent control and the non-recombinant spore groups showed lower ratios, ranging from 0.9914 to 1.166. These data suggest that recombinant spores promoted a clearer skewing towards a Th1-biased humoral response relative to controls, although the overall magnitude of polarization remained moderate (Fig. 3D).
The neutralizing activity against SARS-CoV-2 in the sera obtained from immunized mice on Day 55 was measured using the sVNT assay. The assay detected the presence of neutralizing/blocking antibodies in the serum. The neutralizing/blocking antibodies bound to the HRP-conjugated RBD and blocked the binding to the pre-coated ACE2 receptor. The mean percentage inhibition for the control group mice was 20.53% ± 2.749 (Fig. 3E). Mice immunized with the non-recombinant spores at doses of 5 × 108 CFU/ml, 1 × 109 CFU/ml, and 5 × 1010 CFU/ml exhibited mean percentage inhibition values of 21.93% ± 3.137, 22.77% ± 5.097, and 22.66% ± 2.81, respectively. The mice of group 5 showed a mean of 29.87% ± 6.46 (p = 0.0414), while the mice of group 6 had a mean of 28.73% ± 5.154. Group 7 mice demonstrated the highest mean inhibition at 32.14% ± 10.83 (p = 0.0075), indicating significant neutralizing activity of the sera. Mice immunized with the recombinant spores, particularly at the highest dose, exhibited inhibition levels exceeding 30%, demonstrating substantial neutralizing activity against SARS-CoV-2 (Fig. 3E). A preliminary live-virus neutralization assay was conducted to assess the functional activity of antibodies elicited by the recombinant spores. Sera from mice receiving the highest dose of recombinant spores achieved 50% neutralization at a 1:100 dilution (PRNT₅₀ ≈ 100), confirming detectable neutralizing activity (Supplementary Fig. 2).
Fecal-specific anti-SARS-CoV-2 spike secretory IgA (sIgA) levels were determined at pre-immunization, day 16, day 32, and day 55 in mice receiving different doses of recombinant and non-recombinant B. subtilis spores (Fig. 4A). The sIgA levels at pre-immunization ranged from 0.006 ± 0.003 ng/ml to 0.035 ± 0.015 ng/ml across all groups. By day 16, the sIgA level in the mice of group 5 was at 0.052 ng/ml ± 0.008, the mice of group 6 demonstrated a sIgA level of 0.049 ng/ml ± 0.025, while the mice of group 7 showed a sIgA level of 0.043 ng/ml ± 0.016. These sIgA levels were elevated compared to the mice of the control group (0.007 ng/ml ± 0.004). The sIgA levels in the mice immunized with the non-recombinant spores were 0.011 ng/ml ± 0.006 in mice of group 2, 0.011 ng/ml ± 0.008 in mice of group 3, and 0.008 ng/ml ± 0.004 in mice of group 4. At day 32, the sIgA levels significantly increased in the mice immunized with the recombinant spores, with the high-dose immunization exhibiting the highest response (0.151 ± 0.036 ng/ml, p = 0.0006), followed by the medium-dose immunization (0.115 ng/ml ± 0.045, p = 0.035). The sIgA level in mice immunized with low-dose recombinant spores increased but did not reach statistical significance (0.093 ng/ml ± 0.044, p > 0.05). At day 55, sIgA levels remained elevated, with the mice of group 6 showing the highest level (0.108 ± 0.047 ng/ml), followed by the mice of groups 5 (0.083 ng/ml ± 0.043) and 7 (0.094 ng/ml ± 0.053), although a slight decline was observed compared to day 32 (Fig. 4A). Mice immunized with the non-recombinant spores showed low sIgA levels throughout, with 0.015 ng/ml ± 0.009 in mice of group 2, 0.013 ng/ml ± 0.009 in mice of group 3, and 0.047 ng/ml ± 0.014 in mice of group 4.

Mucosal immunity in mice immunized with recombinant B. subtilis spores expressing SARS-CoV-2 spike protein. Fecal anti-SARS-CoV-2 spike sIgA level (A) and saliva anti-SARS-CoV-2 spike sIgA level (B) were measured at pre-immunization, and two weeks after the first, second, and third doses. Bronchoalveolar lavage fluid (BALF) anti-SARS-CoV-2 spike sIgA level (C) and intestinal wash anti-SARS-CoV-2 spike sIgA level (D) were measured on day 55 post-first immunization. The data are represented as mean ± SEM. Statistical significance compared to the control group was tested using two-way ANOVA with Dunnett’s post hoc test for multiple comparisons for (A) and (B). Kruskal–Wallis with Dunnett’s post hoc test for multiple comparisons was used to statistically test (C) and (D). (n = 6/group).
At baseline, saliva-specific sIgA levels ranged from OD 0 to 0.052 ± 0.01 (Fig. 4B). At day 16, the mice of group 6 showed significantly high saliva-specific sIgA levels (0.082 ± 0.018) (p < 0.0001), followed by the mice of group 5 (0.059 ± 0.014, p = 0.0046). In contrast, the mice of group 7 showed moderate sIgA levels (0.03 ± 0.011). Comparison against the group immunized with the non-recombinant spores (groups 2 and 3) of similar doses showed that the mice immunized with low- and medium-doses of recombinant spores exhibited significantly higher sIgA levels, p = 0.0046 and p < 0.0001, respectively. A comparison of the different dosages of the recombinant spores revealed that mice immunized with medium-dose showed a significantly high sIgA level compared to the high-dose immunization (p = 0.0168). By day 32, the mice of group 6 exhibited the highest sIgA level (0.095 ± 0.021, p < 0.0001), followed by the mice of groups 5 (0.063 ± 0.013, p = 0.0017) and 7 (0.054 ± 0.008, p = 0.0137). Medium-dose immunization with recombinant spores resulted in a significantly higher sIgA level than medium-dose immunization with non-recombinant spores (p < 0.0001). By day 55, sIgA levels in the mice of groups 6 and 5 were 0.117 ± 0.01 and 0.116 ± 0.015, respectively, significantly higher than in control groups (0, p < 0.0001) and the mice of groups 3 and 2 (0.013 ± 0.008, and 0, respectively, p < 0.0001). The high-dose immunized group showed a decline in sIgA level at 0.027 ± 0.026.
The sIgA level in BALF was analyzed on day 55 to assess mucosal immune responses in the respiratory tract. The mice of the control group (0.015 ± 0.007 ng/ml) and the mice immunized with the non-recombinant spores exhibited low sIgA levels (Group 2 and 3 = 0 ng/ml, Group 4 = 0.003 ± 0.003 ng/ml) (Fig. 4C). In contrast, mice immunized with the recombinant spores demonstrated high responses at 0.101 ± 0.035 ng/ml, p = 0.0125, 0.074 ± 0.024 ng/ml, p = 0.0104, and 0.028 ± 0.009 ng/ml for groups 7, 6, and 5, respectively.
The sIgA levels in intestinal wash samples, reflecting gut mucosal immunity, were higher in the mice of group 7 (0.296 ± 0.086 ng/ml), significantly surpassing the mice of groups 6 and 5 (p = 0.0005 and p = 0.0042, respectively) (Fig. 4D). Groups of mice immunized with the non-recombinant spores demonstrated undetectable or lower sIgA levels (mice of group 2 = 0 ng/ml, group 3 = 0.045 ± 0.02 ng/ml, and group 4 = 0.015 ± 0.015 ng/ml).
Cellular immune responses in mice immunized with the recombinant B. subtilis spores expressing SARS-CoV-2 spike protein
The cellular immune responses were analyzed in the mice immunized with diluents (group 1, control), medium-dose immunization with the non-recombinant spores, 1 × 109 CFU/ml (group 3), and the mice immunized with low- (5 × 108 CFU/ml), medium- (1 × 109 CFU/ml) and high- (5 × 1010 CFU/ml) doses of the recombinant spores (groups 5, 6 and 7) using flow cytometry. The heatmap of the cellular immune responses revealed an elevated CD4+ population in the mice of groups 6 and 7, with median percentages of 49.45% and 43%, respectively. The mice of group 5 showed a lower CD4+ population (35.5%). The CD4+ population in the mice of the control group was 37.6%. The mice of group 3 exhibited a CD4+ population of 41.9%. The effector T cells (CD4+ CD44+) population was higher in the mice of groups 5 (53.6%) and 6 (41.3%), while mice of group 7 showed a reduction to 27.65%. The mice of the control group and mice of group 3 exhibited a CD4+CD44+ population of 32.55% and 28.6%, respectively (Fig. 5A). The median percentage of CD8a+ T cells was higher in the mice of group 6 (7%) compared to the mice of groups 7 (4.8%) and 5 (3.3%), with the control group showing the lowest level (1.8%). The CD8a+ T cell population in mice of group 3 (5.6%) was also elevated. Effector cytotoxic T cells (CD8a+CD44+) population were higher in the mice of group 6 (42.35%) compared to the mice of the control group (39.55%). The mice of groups 5 and 7 exhibited a CD8a+CD44+ population of 27.3% and 28%, respectively. The mice of group 3 exhibited a reduction of the CD8a+CD44+ population (34.55%). Overall, the mice of groups 6 and 7 showed elevated CD4+ and CD8a+ T cell populations, with the mice of group 6 also exhibiting higher effector T cells (CD4+CD44+) and cytotoxic T cells (CD8a+CD44+). The mice of group 5 had a lower CD4+ population but increased effector T cells, while mice of group 3 and the control group displayed moderate T cell levels. These findings suggest that medium-dose immunization with recombinant spores at 1 × 109 CFU/ml resulted in enhanced immune activation.

Cellular immune responses in mice immunized with recombinant B. subtilis spores expressing SARS-CoV-2 spike protein. A heat map comparing the median percentages of various immune cell populations, including T cells, B cells, and macrophages (A). Red represents minimal or no cellular immune response, while green signifies a high percentage of cellular immune activation. SARS-CoV-2 spike-specific T cell responses to the recombinant B. subtilis spores expressing spike proteins in the spleen of SPF Balb/c mice 55 days post-first immunization. The spleens were restimulated with SARS-CoV-2 spike protein peptide pools, followed by intracellular cytokine staining and flow cytometry to measure the frequencies of SARS-CoV-2 S1 CD4+ IFN-γ+ T cells (B) and the frequencies of SARS-CoV-2 S1 CD8+ IFN-γ+ T cells (C). The data were represented as mean ± SEM. Statistical significance compared to the control group was tested using one-way ANOVA with Dunnett’s post hoc test for multiple comparisons. (n = 5–6/group).
The total B cell population (CD19+) was high in the mice of group 5 (38.5%) compared to the mice of the control group (30.8%). The activated B cell population (CD19+ CD44+) was lower at 55.7% in the mice of group 5 versus 84.55% in the mice of the control group (Fig. 5A). In contrast, mice of groups 6 and 7 showed a low B cell population (17.65% and 23.9%, respectively) but a higher activated B cell population, with median percentages of 90% and 89.7%, respectively. The mice of group 3 exhibited a lower B cell population (25%) and a reduced level of activated B cell population (66.45%). Overall, mice of group 5 exhibited a higher total B cell population, but a lower proportion of activated B cells compared to the control group. In contrast, mice of groups 6 and 7 showed reduced total B cell populations but substantially higher levels of activated B cells, suggesting enhanced B cell activation in these groups, thus indicating that the medium- and high-dose immunization with the recombinant spores at 1 × 109 CFU/ml and 5 × 1010 CFU/ml may promote B cell activation despite lower overall B cell numbers.
Macrophage (CD11b+) populations were higher in the mice of group 5 (3.1%) compared to the mice of the control group (2.65%), whereas mice of groups 6 and 7 showed lower macrophage levels (1.85% and 1.6%, respectively) (Fig. 5A). However, the activated macrophage population (CD11b+ CD44+) was elevated in mice immunized with the recombinant spore groups, with high-dose immunization showing the highest percentage (85.4%), followed by low-dose (82.1%) and medium-dose (77.45%) immunization, compared to the mice of the control group (70.2%). The mice of group 3 had a lower activated macrophage population (58.9%). Overall, recombinant spore immunization enhanced macrophage activation, particularly at higher doses (5 × 1010 CFU/ml), despite varying total macrophage levels across groups.
Spike-specific T-cell responses were further evaluated by restimulating splenocytes with SARS-CoV-2 S1 peptide pools. Low-dose immunization with recombinant spores resulted in a mean CD4+ IFN-γ+ T cell frequency of 0.28% ± 0.17, while medium- and high-dose immunizations yielded mean frequencies of 0.17% ± 0.12 and 0.32% ± 0.09, respectively. In contrast, the control group exhibited a lower mean frequency of 0.02% ± 0.02 (Fig. 5B). However, these differences were not statistically significant. Similarly, CD8a+ IFN-γ+ T cell frequencies were significantly increased in mice from groups 5 (1.68% ± 0.62, p = 0.011) and 7 (1.1% ± 0.19, p = 0.0153) compared to the control group (0%) (Fig. 5C). Mice in group 6 also showed an increase (1.03% ± 0.49), though this did not reach statistical significance (p > 0.05). Oral immunization with recombinant B. subtilis spores expressing SARS-CoV-2 spike proteins induced cellular immune responses in the SPF Balb/c mice. CD8+ IFN-γ+ T cell frequencies were significantly increased in the low- and high-dose immunization groups, while CD4+ IFN-γ+ T cell responses were detected across all immunized groups but did not reach statistical significance (p > 0.05).
Cytokine responses in mice immunized with the recombinant B. subtilis spores expressing SARS-CoV-2 spike protein
Key pro-inflammatory cytokines, including IFN-γ, IL-1α, IL-1β, IL-6, IL-12p70, IL-2, IL-17A, and TNF-α, were measured to evaluate the cytokine responses in mice immunized with the recombinant B. subtilis spores (Fig. 6A). The mice immunized with the recombinant spores exhibited elevated IFN-γ levels, with median concentrations of 2.226 pg/ml and 2.572 pg/ml in low- and high-dose immunization, respectively, compared to the mice of the control group and group 3 (undetected level). The medium-dose immunization showed a higher IFN-γ level of 12.822 pg/ml. IL-1α levels were low in the control group (0.211 pg/ml) but increased in mice immunized with the recombinant spores: group 5 (2.669 pg/ml), group 6 (1.09 pg/ml), and group 7 (1.389 pg/ml). IL-1α was undetectable in the mice immunized with the non-recombinant spores. Similarly, IL-1β levels were elevated in recombinant spore-immunized mice: group 5 (1.779 pg/ml), group 6 (1.523 pg/ml), and group 7 (1.97 pg/ml), compared to the control group (− 0.126 pg/ml) and group 3 (− 2.897 pg/ml). IL-6 levels also increased in recombinant spore-immunized mice: group 5 (18.765 pg/ml), group 6 (0.736 pg/ml), and group 7 (1.99 pg/ml), whereas IL-6 was undetectable in the control group. For IL-12p70, the control group exhibited a level of 3.347 pg/ml, while low- and high-dose recombinant spore immunization resulted in elevated levels of 12.962 pg/ml and 10.343 pg/ml, respectively. IL-12p70 was undetectable in the mice of groups 6 and 3. IL-2 levels were highest in the mice of group 7 (15.693 pg/ml) compared to the control group (0.782 pg/ml). IL-2 remained undetectable in the mice of groups 3, 5, and 6. IL-17A levels were higher in the mice of groups 7 (1.473 pg/ml) and 5 (0.869 pg/ml) but undetectable in the mice of groups 5 and 3. The mice of group 3 showed a higher TNF-α level (47.305 pg/ml), while recombinant spores immunized mice exhibited variable TNF-α levels: 10.656 pg/ml (group 5), − 1.212 pg/ml (group 6), and 4.068 pg/ml (group 7). These findings suggested that immunization with the recombinant spores expressing SARS-CoV-2 spike proteins stimulated pro-inflammatory cytokine responses, with low- and high-dose immunization exhibiting higher response levels.

Cytokines responses in mice immunized with recombinant B. subtilis spores expressing SARS-CoV-2 spike proteins. Heatmap of the median expression of secreted cytokines in the supernatant from SARS-CoV-2 spike proteins peptide re-stimulated splenocytes from immunized mice at Day 55 post-first immunization (A). Heatmap of the median expression of secreted chemokines and growth factors in the supernatant from re-stimulated splenocytes from immunized mice at Day 55 post-first immunization (B). Cytokine concentrations of non-stimulated controls were subtracted from re-stimulated samples. Th-1 cytokine profile secreted after restimulation of mouse splenocyte isolated from immunized mice at Day 55 post-first immunization. Comparison between the level of IFN-γ (C), TNF-α (D), IL-2 (E), and IL-12p70 (F) in the restimulated splenocytes. Th-2 cytokine profile secreted after restimulation of mouse splenocyte isolated from immunized mice at Day 55 post-first immunization. Comparison between the levels of IL-4 (G), IL-5 (H), IL-6 (I), and IL-10 (J) in the restimulated splenocytes. Comparative Th1/Th2 ratios of IFN-γ/IL-4 (K), IL-2/IL-4 (L), IFN-γ/IL-10 (M) and IL-2/IL-10 (N). Th-17 cytokine profile secreted after restimulation of mouse splenocyte isolated from immunized mice at Day 55 post-first immunization. Comparison between the level of IL-17A in the restimulated splenocytes (O). The data are represented as mean ± SEM. Statistical significance was tested using the Kruskal–Wallis test with Dunnett’s post hoc test for multiple comparisons. (n = 6/group).
The anti-inflammatory cytokines were also assessed by determining the levels of IL-10 and IL-13 (Fig. 6A). The heatmap showed that immunization with the low-dose recombinant spores induced the highest IL-10 level (34.731 pg/ml), followed by medium-dose (10.376 pg/ml) and high-dose (10.638 pg/ml), compared to the control group (3.144 pg/ml). Non-recombinant spores immunization resulted in low IL-10 level (0.617 pg/ml). The level of IL-13 was undetectable across all samples. The findings suggested that the recombinant spores expressing SARS-CoV-2 spike proteins immunization, especially at low-dose, stimulated high anti-inflammatory cytokine responses.
Other cytokines such IL-12p40, IL-3, IL-4, IL-5 and IL-9 were also evaluated (Fig. 6A). The heatmap revealed that IL-12p40 concentrations were higher in the mice immunized with the recombinant spores (group 5, 24.449 pg/ml, and group 7, 22.807 pg/ml) compared to controls (8.978 pg/ml). The IL-3 levels were high in the mice of groups 6 (0.162 pg/ml) and 7 (0.172 pg/ml). The mice of group 5 exhibited an increase in the IL-4 level (0.743 pg/ml), followed by the mice of groups 7 (0.643 pg/ml) and 6 (0.115 pg/ml). Recombinant spores immunization increased IL-5 production in the mice of groups 6 (0.528 pg/ml) and 7 (0.558 pg/ml), while the mice of group 5 showed suppression (− 0.522 pg/ml). Low-dose immunization with recombinant spores resulted in elevated IL-9 levels (1.157 pg/ml), while medium- and high-doses immunization resulted in IL-9 levels of 0.649 pg/ml and 0.84 pg/ml, respectively. These findings suggested that the recombinant spore immunization modulated cytokine responses in a dose-dependent manner, with low-dose immunization particularly enhancing IL-12p40, IL-9 and IL-4 levels, while medium-dose immunization stimulated higher IL-3 and IL-5 production.
Chemokines such as Eotaxin, MCP-1, MIP-1α, MIP-1β, RANTES, and KC were also determined using the multiplex assay (Fig. 6B). Elevated eotaxin levels were detected in the recombinant spores immunized groups, with mice of group 5 exhibiting the highest increase (41.86 pg/ml), followed by the mice of group 7 (39.95 pg/ml), compared to the control group (10.34 pg/ml). The immunization with non-recombinant spores also showed an elevation (16.88 pg/ml). Recombinant spores immunization showed an increase in the MCP-1 level, with the highest observed in the high-dose immunized mice (57.53 pg/ml), compared to the control group (− 5.84 pg/ml). The immunization with non-recombinant spores resulted in a strong suppression (− 22.33 pg/ml). High expressions of MIP-1α and MIP-1β were observed in mice immunized with the recombinant spores, with low-dose immunization showing the highest level (513.173 pg/ml and 540.224 pg/ml, respectively). High-dose recombinant spores immunization caused the highest increase in RANTES expression (459.10 pg/ml), followed by low-dose immunization (354.30 pg/ml), compared to the control group (− 1.185 pg/ml). The expression of KC was also increased in the mice of groups 5 (14.802 pg/ml) and 6 (7.908 pg/ml), compared to the control group (− 0.895 pg/ml). Growth factors, including G-CSF and GM-CSF, were increased, particularly in the mice of groups 5 (G-CSF levels, 5.31 pg/ml, GM-CSF, 30.42 pg/ml) and 7 (G-CSF, 1.37 pg/ml, GM-CSF, 17.63 pg/ml) (Fig. 6B). These findings suggested that oral immunization with recombinant spores expressing SARS-CoV-2 spike proteins stimulated chemokines and growth factors.
To assess the Th1/Th2 immune responses, the level of key cytokines associated with cell-mediated (Th1; IFN-γ, TNF-α, IL-2, and IL-12p70) (Fig. 6C–F) and humoral-mediated (Th2; IL-4, IL-5, IL-6 and IL-10) (Fig. 6G–J) immunity were measured. The cytokine levels were measured in the supernatant of SARS-CoV-2 spike protein peptide pool-restimulated immunized mice splenocytes.
The mice of group 1 and group 3 showed lower IFN-γ levels of − 0.165 pg/ml and − 0.505 pg/ml, respectively. The immunization with recombinant spores resulted in an increase in the IFN-γ levels with the highest in the low-dose immunization (4.929 pg/ml). Medium and high-dose immunization resulted in IFN-γ levels of 0.492 pg/ml and 2.402 pg/ml, respectively (Fig. 6C). TNF-α levels were reduced in the mice of group 1, group 3, group 5, and group 6 (0.782 pg/ml, − 0.231 pg/ml, 0.815 pg/ml, and 0.312 pg/ml, respectively). The mice in group 7, which were immunized with a high dose of recombinant spores showed the highest TNF-α level (15.69 pg/ml) (Fig. 6D). IL-2 levels were highest in the mice of group 5 and group 7 (11.22 pg/ml and 2.959 pg/ml, respectively). The mice of group 1, group 3 and group 5 showed a reduction in the IL-2 levels (− 0.979 pg/ml, − 25.69 pg/ml, and − 1.212 pg/ml, respectively) (Fig. 6E). IL-12p70 levels were significantly highest in the mice of group 5 (12.96 pg/ml, p = 0.024) and group 7 (10.55 pg/ml, p = 0.035) compared to the mice of group 3 (− 9.78 pg/ml). The IL-12p70 levels in the mice of group 6, however, showed a reduction to − 3.415 pg/ml. (Fig. 6F). Overall, these data suggested that the recombinant spores expressing SARS-CoV-2 spike proteins stimulated Th1 cytokine production, particularly at low-dose immunization of 5 × 108 CFU/ml spore.
IL-4 levels in the mice of groups 1 and 3 were determined at 0.09 pg/ml and 0.091 pg/ml, respectively. The immunization with the recombinant spores increased the IL-4 levels to 1.045 pg/ml, 0.442 pg/ml, and 0.643 pg/ml in groups 5, 6, and 7, respectively (Fig. 6G). Similarly, IL-5 levels were − 0.285 pg/ml in the mice of group 1, increasing to 0.204 pg/ml in the mice of group 3, and further rising to 1.331 pg/ml, 1.092 pg/ml, and 0.558 pg/ml in the mice of groups 5, 6 and 7 at the respective concentrations (Fig. 6H). For IL-6, the mice of group 1 showed a baseline level of − 0.635 pg/ml, which increased to 0.204 pg/ml in the mice of group 3. An increase to 19.66 pg/ml was observed in the mice of group 5, while IL-6 levels in the mice of groups 6 and 7 were 0.97 pg/ml and 1.99 pg/ml, respectively (Fig. 6I). IL-10 levels were − 2.126 pg/ml in the mice of group 1 and decreased to − 10.82 pg/ml in the mice of group 3. Significant elevations were observed in the mice of group 5, with IL-10 levels reaching 39.2 pg/ml. Increased IL-10 levels were also observed in the mice of groups 6 and 7, with IL-10 levels of 10.38 pg/ml and 10.64 pg/ml, respectively, however, the value did not reach statistical significance (p > 0.05) (Fig. 6J). These results suggested that immunization with the recombinant spores expressing SARS-CoV-2 spike proteins, particularly at lower spore concentrations of 5 × 108 CFU/ml, modulated the Th2-associated cytokine production compared to those obtained from mice treated with just the diluent or the non-recombinant spores.
In line with the observed Th1 versus Th2 bias in the IgG2a and IgG1 levels, the cytokine ratios derived from SARS-CoV-2 spike proteins peptides-stimulated splenocytes supernatant at day 55 revealed significant shifts in Th1/Th2 balance. The IFN-γ/IL-4 ratio, a key indicator of Th1 bias, was − 1.07 in the mice of group 1 and decreased further to − 2.06 in the mice of group 3. However, in mice immunized with the recombinant spores, this ratio shifted to positive values, reaching 2.3, 2.68, and 3.53 at low-, medium-, and high-immunization doses, respectively, with significant Th1-biased in mice immunized with high-dose recombinant spores (p = 0.0317) (Fig. 6K). Similarly, the IL-2/IL-4 ratio was 20.87 in the mice of group 1 but decreased to 0.67 in the mice of group 3. In contrast, the mice of groups 5, 6, and 7 exhibited higher ratios of 18.64, 32.69, and 17.01 at the respective doses, further supporting a shift toward Th1 immunity in group 7 (Fig. 6L). The IFN-γ/IL-10 ratio, which reflects the balance between Th1 and regulatory responses, was − 0.09 in the mice of group 1 and increased slightly to 0.07 in the mice of group 3. In the mice immunized with the recombinant spores, this ratio showed increases, with values of 0.43, 0.30, and 0.22 in groups 5, 6, and 7, respectively. While these changes were not as pronounced as the IFN-γ/IL-4 ratio, they still suggest a trend toward Th1 dominance (Fig. 6M). The IL-2/IL-10 ratios were − 2.36 in the mice of group 1 and − 0.02 in the mice of group 3. In the mice immunized with the recombinant spores, this ratio further increased to 3.52, 3.73, and 1.05 in the mice of groups 5, 6, and 7, respectively, reinforcing the observed Th1 bias (Fig. 6N). Overall, these findings suggested that the immunization with recombinant spores expressing SARS-CoV-2 spike proteins stimulated Th-1-biased immune responses.
Th17-mediated immunity, crucial for mucosal defense, was evaluated by measuring IL-17A levels. The IL-17A levels in the mice of groups 1 and 3 were reduced to − 0.139 pg/ml and − 0.127 pg/ml, respectively. Increased IL-17A levels were observed in the mice immunized with the recombinant spores with 1.202 pg/ml, 0.264 pg/ml, and 1.473 pg/ml for low-, medium-, and high-dose immunizations, respectively (Fig. 6O). These data suggested that the high-dose immunization of 5 × 1010 CFU/ml of spores was most effective in inducing the Th17 responses, which are crucial for enhancing mucosal immunity.


















Leave a Reply