
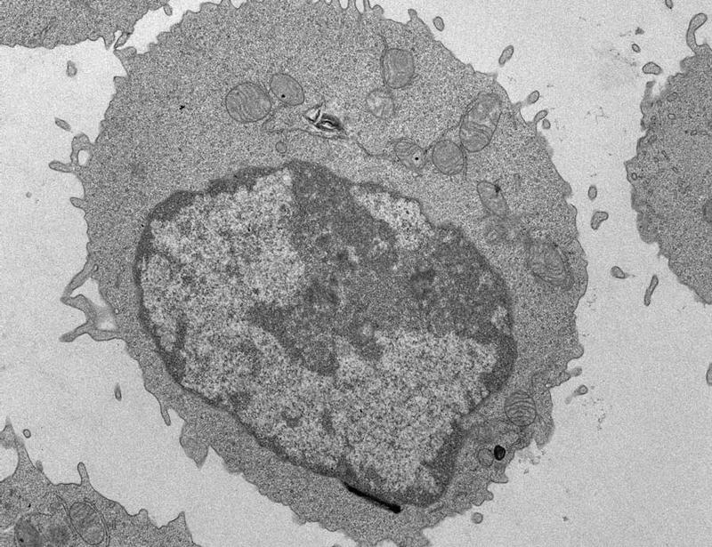
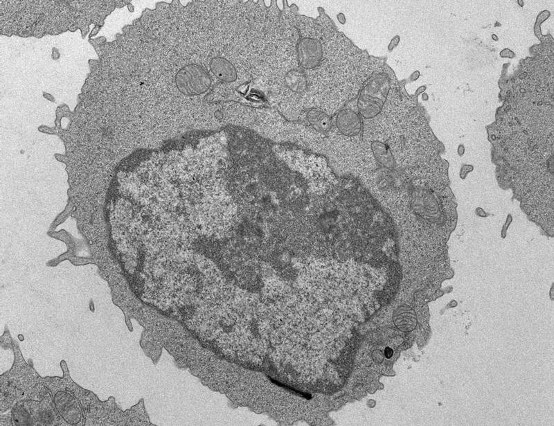
Palmitate impairs CD8 T cell mitochondria, suppresses histone acetylation and chromatin accessibility, and blocks effector programs.
Palmitate-induced mitochondrial damage restricts histone acetylation in CD8 T cells to impair antitumor immunity | Science Immunology


















Leave a Reply